Precision
Dental
Ceramics: A Standard of Excellence in Dental Ceramics
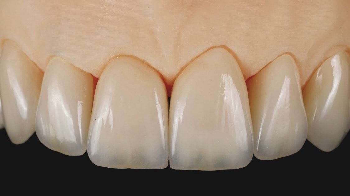
At Precision Dental Ceramics, our goal is to provide next level, precision-crafted ceramics that meet the highest standards in the dental industry. We are committed to delivering exceptional quality with meticulous attention to detail, ensuring that each piece we create enhances both functionality and aesthetics for your patients.
Transforming Smiles for over 40 years with
Precision Dental Ceramics
At Precision Dental Ceramics, our state-of-the-art dental lab is dedicated to producing custom restorations that meet the unique needs of each patient. We are able to assist with your transition to digital dentistry with our ability to receive your digital files allowing for shorter turn around, greater precision and improved patient comfort.

Predictable
Quality
Highly qualified and
motivated professionals
Precision Dental Ceramics takes quality time at the bench to ensure a restoration that seats quickly and efficiently, taking less chair-time in your office.
Imagine the
satisfaction of having your cases
drop in
effortlessly-
Experience the
PRECISION
DENTAL
CERAMICS difference

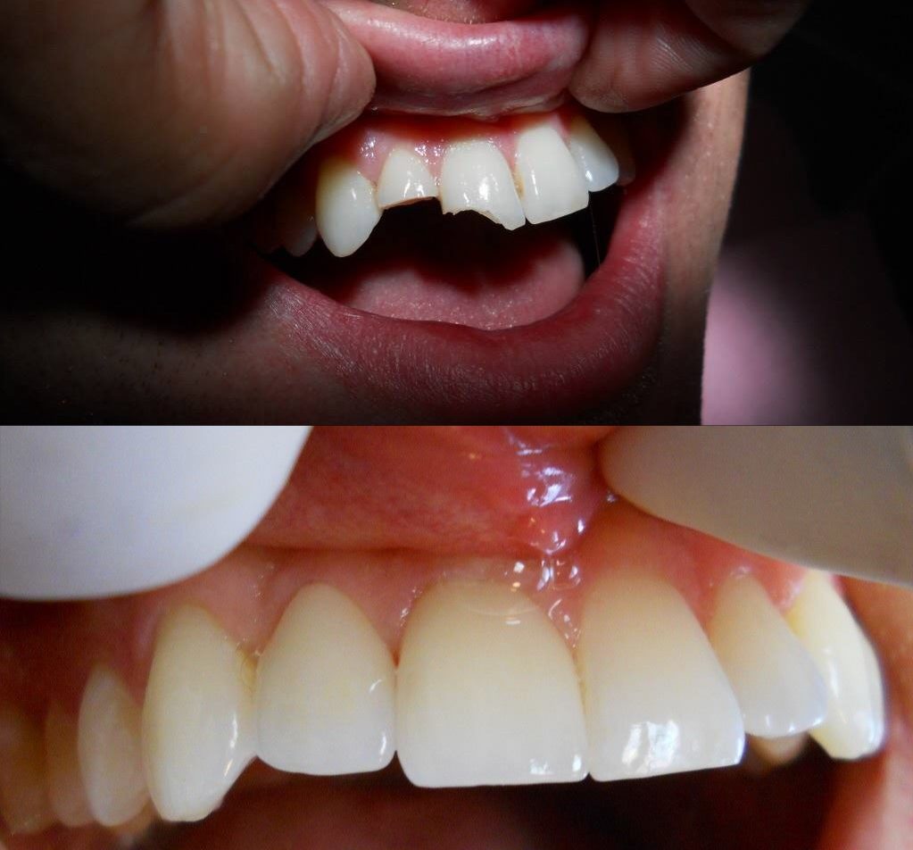
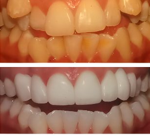
Transforming Smiles with Full Mouth Restoration
At Precision Dental Ceramics in Houston, we take pride in offering exceptional full mouth restoration services. With over 40 years of experience in the dental field, our expertise is unparalleled. We specialize in crafting high-quality zirconia crowns, bridges, and custom implant abutments, ensuring that every restoration is not only functional but also aesthetically pleasing. Our LVI-trained artists are dedicated to providing tailored cosmetic solutions, including veneers, crowns, and comprehensive full mouth restorations to give your patient's the smile of their dreams. Additionally, we offer same day acrylic denture repair. Trust us to enhance your dental practice with our meticulous attention to detail and patient-centered approach.
Advanced Technology: Hybrid Prosthesis for Restoration
This technique involves a titanium substructure with a zirconia overlay for strength and stability with the superior aesthetics and natural appearance of zirconia.

Custom Implant Abutments
We create custom implant abutments that ensure optimal fit and function for every patient. We have the ability to tailor-make screw retained or cemented implant crowns.


Cosmetic Dental Solutions
LVI trained experts in cosmetic crowns, veneers and full mouth restorations to enhance your dental practice.
Get in touch:
office phone 713-977-4644
cell 713-203-8442
email: precisiondentalceramics@live.com
